A Transformação Completa da Marlene com Implantes
A Marlene chegou até a nossa clínica com uma situação mais avançada. Ela já tinha perdido vários dentes, e isso afetava não só a estética, mas também a mastigação, a fala e a sua segurança no dia a dia.
Após uma avaliação completa, com exames realizados na própria clínica, identificamos que a melhor solução seria uma reabilitação total com implantes, devolvendo dentes fixos para que ela voltasse a viver com mais conforto e tranquilidade.
O tratamento foi planejado para reconstruir toda a arcada superior e inferior. Em algumas regiões, utilizamos implantes convencionais. Já em áreas com menor quantidade de osso, foram indicados implantes especiais, que permitem a fixação mesmo em casos mais complexos.
Após a fase cirúrgica, instalamos próteses provisórias, permitindo que a Marlene já saísse com dentes fixos, recuperando rapidamente a estética e a função.
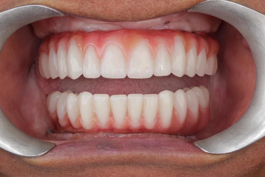
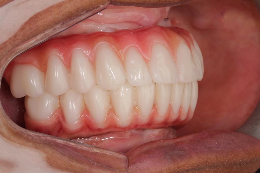
Com a evolução do tratamento, finalizamos com próteses definitivas para ambas as arcadas, devolvendo um sorriso completo, confortável e com aparência natural.
Todo o processo foi acompanhado por exames feitos dentro da própria clínica, garantindo mais segurança e controle em cada etapa.
Além disso, o fato de termos laboratório próprio trouxe mais agilidade, precisão nos ajustes e um resultado final ainda mais alinhado com o planejamento.
Hoje, a Marlene voltou a sorrir com confiança, se alimentar melhor e viver com mais liberdade no dia a dia.
Após uma avaliação completa, com exames realizados na própria clínica, identificamos que a melhor solução seria uma reabilitação total com implantes, devolvendo dentes fixos para que ela voltasse a viver com mais conforto e tranquilidade.
O tratamento foi planejado para reconstruir toda a arcada superior e inferior. Em algumas regiões, utilizamos implantes convencionais. Já em áreas com menor quantidade de osso, foram indicados implantes especiais, que permitem a fixação mesmo em casos mais complexos.
Após a fase cirúrgica, instalamos próteses provisórias, permitindo que a Marlene já saísse com dentes fixos, recuperando rapidamente a estética e a função.
Com a evolução do tratamento, finalizamos com próteses definitivas para ambas as arcadas, devolvendo um sorriso completo, confortável e com aparência natural.
Todo o processo foi acompanhado por exames feitos dentro da própria clínica, garantindo mais segurança e controle em cada etapa.
Além disso, o fato de termos laboratório próprio trouxe mais agilidade, precisão nos ajustes e um resultado final ainda mais alinhado com o planejamento.
Hoje, a Marlene voltou a sorrir com confiança, se alimentar melhor e viver com mais liberdade no dia a dia.

