O Sorriso da Vera Recuperado com Planejamento e Precisão
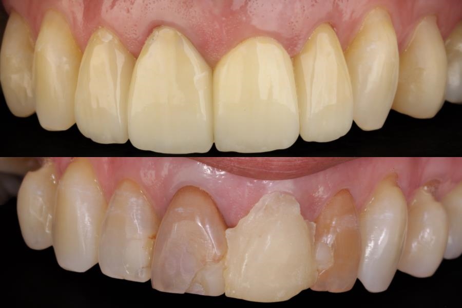
A Vera chegou até a clínica com vários dentes enfraquecidos, restaurações antigas e desconforto no dia a dia. Além da estética, ela já sentia dificuldade ao mastigar e insegurança ao sorrir.
Após a avaliação, identificamos que alguns dentes precisavam de um reforço interno para voltarem a ter resistência. Para isso, utilizamos pinos de fibra, que funcionam como uma base interna que fortalece o dente por dentro, permitindo que ele volte a suportar o uso normalmente.
Depois dessa etapa, reconstruímos esses dentes com coroas em porcelana, que são capas feitas sob medida para devolver o formato, a cor e a função natural dos dentes. Esse tipo de material oferece um resultado muito próximo ao dente natural, tanto na aparência quanto na resistência.
Durante o tratamento, utilizamos dentes provisórios feitos no nosso laboratório, garantindo que a Vera não ficasse sem estética nem função em nenhum momento. Isso também permitiu ajustes mais rápidos e um encaixe mais preciso no resultado final.
Além disso, realizamos restaurações em regiões mais sensíveis próximas à gengiva, corrigimos pontos de desgaste e fizemos uma limpeza mais profunda para remover o acúmulo de tártaro, melhorando a saúde bucal como um todo.
Outro detalhe importante foi a recuperação de um dente com uma peça parcial (onlay em resina), que permitiu preservar ao máximo a estrutura natural, evitando desgastes desnecessários.
Todo esse processo foi realizado com o apoio da nossa radiologia digital e do laboratório próprio dentro da clínica, o que tornou o tratamento mais ágil, organizado e preciso em cada etapa.
O resultado final foi um sorriso mais bonito, funcional e equilibrado. Mais do que isso, a Vera voltou a se sentir segura para sorrir, falar e se alimentar sem desconforto.
Após a avaliação, identificamos que alguns dentes precisavam de um reforço interno para voltarem a ter resistência. Para isso, utilizamos pinos de fibra, que funcionam como uma base interna que fortalece o dente por dentro, permitindo que ele volte a suportar o uso normalmente.
Depois dessa etapa, reconstruímos esses dentes com coroas em porcelana, que são capas feitas sob medida para devolver o formato, a cor e a função natural dos dentes. Esse tipo de material oferece um resultado muito próximo ao dente natural, tanto na aparência quanto na resistência.
Durante o tratamento, utilizamos dentes provisórios feitos no nosso laboratório, garantindo que a Vera não ficasse sem estética nem função em nenhum momento. Isso também permitiu ajustes mais rápidos e um encaixe mais preciso no resultado final.
Além disso, realizamos restaurações em regiões mais sensíveis próximas à gengiva, corrigimos pontos de desgaste e fizemos uma limpeza mais profunda para remover o acúmulo de tártaro, melhorando a saúde bucal como um todo.
Outro detalhe importante foi a recuperação de um dente com uma peça parcial (onlay em resina), que permitiu preservar ao máximo a estrutura natural, evitando desgastes desnecessários.
Todo esse processo foi realizado com o apoio da nossa radiologia digital e do laboratório próprio dentro da clínica, o que tornou o tratamento mais ágil, organizado e preciso em cada etapa.
O resultado final foi um sorriso mais bonito, funcional e equilibrado. Mais do que isso, a Vera voltou a se sentir segura para sorrir, falar e se alimentar sem desconforto.

